I'm

Dental Technician

Fouad AlHorani

I'm

Dental Technician

Fouad AlHorani

My message /

In very simple words

Be Unique , Creative and Artistic
Respect Nature , Geometry and Humankind .

  • Name : Fouad AlHorani

  • Languages: Arabic / English

My Skill

Other skills

  • Photography
  • Film making
  • Management

My Resume /

education & experience

Education

2002

Intermediate university college

Dental technology program

graduated with honor recognition as the highest rate of 2004 class.

Special projects

Pre-surgical Clift lip and palate orthopedic treatment

Involvement started from treatment planning, taking an impression up to fixing custom made headgear . Working with professional team of oral surgeon , orthodontist and pediatrician

Study of modified orthodontic device

( Anderson - Haupl activator ) with maxillary expansion

Self funded study with new design of expansion screw to allow of individual jaw expansion.

Removable restoration after full maxilla lost with obturator

Experience

2004

Horani dental lab

Syria

Joining my Father and mentor laboratory gave me the opportunity to explore the dental world in many aspects starting with dentists-technician communication , followed with open sources of academic level dental lab services .

Complete dentures:

conventional - press – flex

Orthodontic appliances:

treatment planning - removable appliances
- fixed appliance - functional appliances

Orthognathic surgery:

Treatment planning - surgery lab articulator simulation - surgical splints - surgery attending

Osseointegrated restorations:

Treatment planning - surgical guide - removable restorations - semi removable restorations - fixed restorations

Dental CAD/CAM :

Designing restorations - Capture jaw motion - milling strategy

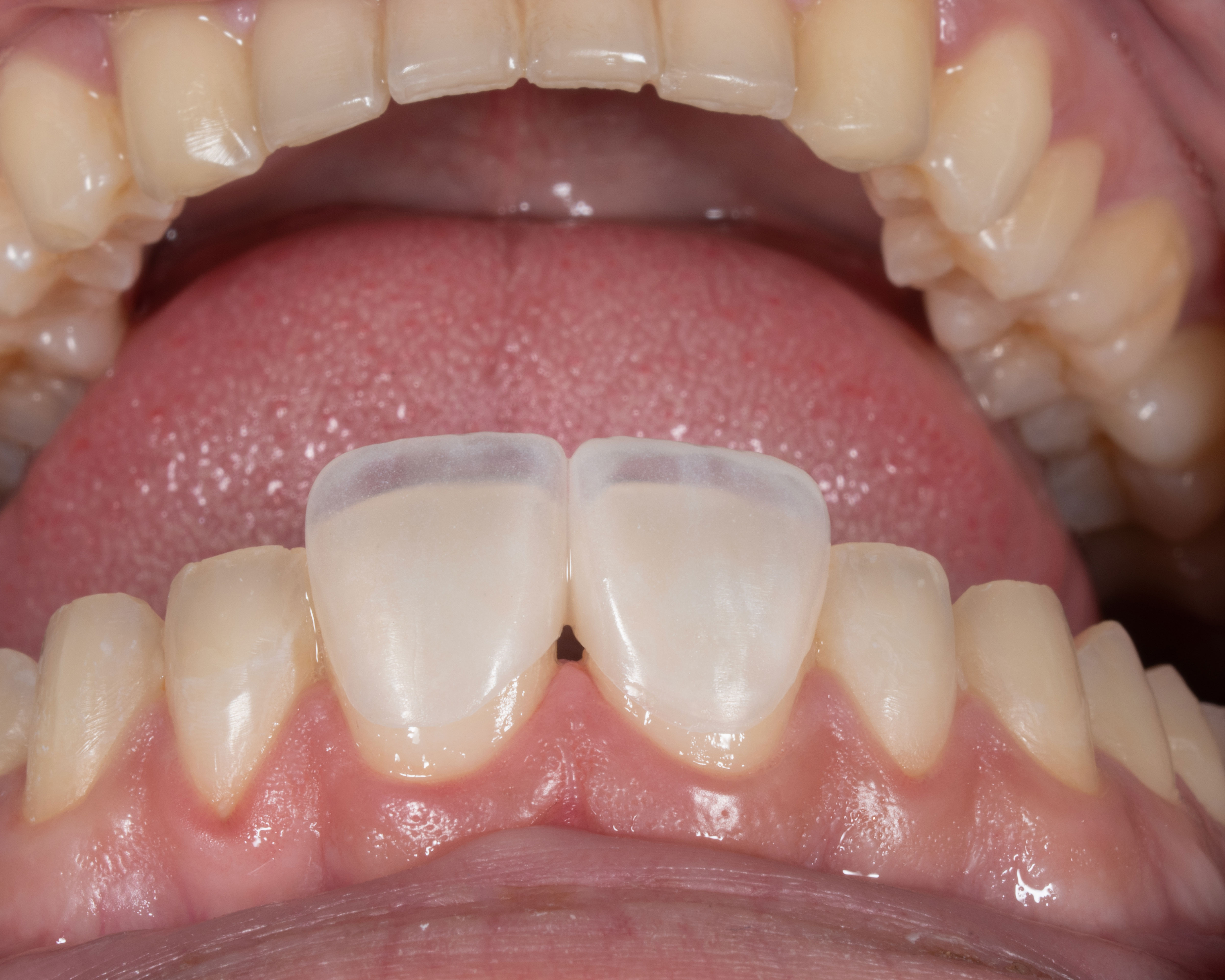
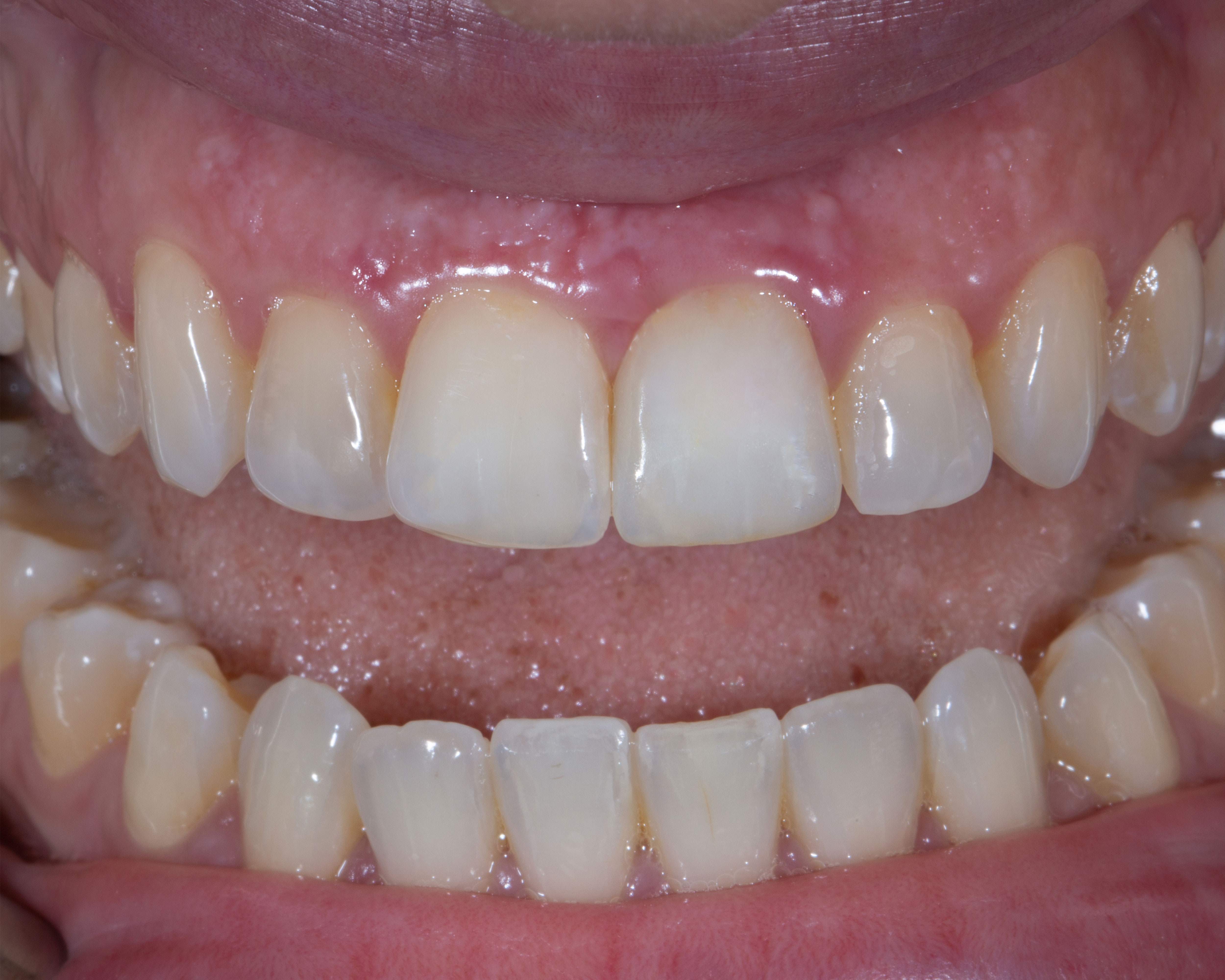
Ceramic restorations:

Press technology - Milling technology - Refractory technique - Platinum foil technique - Shade matching

2013

Horani dental lab

Horani dental lab (Dubai)

Responsible of opening new branch - team management - development communication methods with team members and dental practices Cases treatment planning and suggesting the solutions for complicated cases according to my knowledge and obsession of research

Now

Say Hello /

I would like hear from you

Address

Dubai , UAE

Working Time

I am a vampire who likes to read emails.

Mobile Number

+971 50 911 5711

Email Address

fouad@horanidental.com